StemRNA第三代重编程试剂盒
发布时间:2025-10-11 点击数:0

StemRNA第三代重编程试剂盒 (又名StemRNA™-NM重编程试剂盒)
Stemgent RNA重编程的新产品--StemRNA第三代重编程试剂盒(旧名StemRNA-NM重编程试剂盒),结合了未经修饰的RNA和microRNA技术,使干细胞研究人员追求的多功能性、简易性和时间效益提升到一个新的层次,使人成纤维细胞,以及来自难以重编程的患者血液和尿液的细胞样品得已重编程,成为具有全能性的诱导型多功能干细胞(iPS)。
◆主要优点
● 运用灵活技术,可从多种靶细胞得到高质量的人iPS细胞系
即开即用。可用于来自皮肤(成纤维细胞),血液(内皮祖细胞; EPCs)和尿液(尿源性上皮细胞; UDCs)细胞的重编程。
● 高效率的非整合重编程
StemRNA-3rd Gen仅需要少至四种额外的试剂。试剂盒中的双链microRNA可增强重编程效率,提高iPS获得效率(成纤维细胞高达4%,EPC高达3%,UPC高达0.5%)。
● 省时的操作更快获得结果,从而提高吞吐量
从成纤维细胞的细胞系中得到iPS克隆需要10-14天,而从EPC或UPC中获得细胞系需要12-16天。无需筛选,无需像其他技术般额外培养2-10周(3-10代)以清除载体。
StemRNA 3rd Gen Reprogramming Kit (00-0076) | |||
特点 | 成纤维细胞 | 尿液 (UDCs) | 血液(EPCs) |
每个试剂盒可转染的孔数(6孔板) | 9 | 3 | 3 |
转染次数 | 4 | 6-8 | 6-8 |
获得原代iPS细胞克隆所需天数 | 10-14 | 12-14 | 12-14 |
重编程效率 | 2-+4% | 0.1-0.5% | 0.4-3% |
筛选 | 否 | 否 | 否 |
兼容异源成分的培养步骤 | 是 | 否 | 否 |
GMP级的RNA制备步骤 | 是 | 是 | 是 |

在NutriStem™ XF / FF培养基(01-0005)中扩增后,使用StainAlive™ TRA-1-60抗体(09-0068)和DAPI对UDCs的P7原代iPS细胞进行染色。

StemRNA 3rd Gen Reprogramming Kit

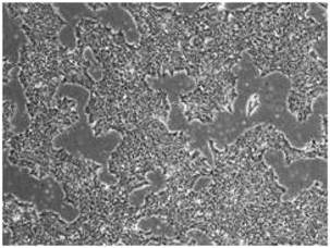
以StemRNA 3rd Gen Reprogramming Kit 配合NutriStem™ XF/FF培养基(01-0005)及iMatrix-511(NP892-011)基质上培养成纤维细胞衍生的iPS细胞7代。 放大倍数:4x

StemRNA-NM的成纤维细胞重编程s时间表
◆产品说明
规格 | 1 kit |
试剂盒组分 | OKSMNL NM-RNA(编号05-0040),30 µg,1 vial EKB NM-RNA(编号05-0041),22 µg,1 vial NM-microRNAs(编号05-0042),15 µg,1 vial |
储存与稳定性 | 1. 试剂盒三种成分均需储存在-70°C以下; 2. 在适当的保存条件下,自到货后三个月内有效。 |
质量控制 | 试剂盒种每种mRNA的大小与完整性均经过检测。 StemRNA 3rd Gen Reprogramming Kit 成功进行了人成纤维细胞和人脐静脉内皮细胞RNA基础重编程功能验证。 iPS细胞系完全重编程可通过多能性标记物的表达及正确的形态来确认。 试剂盒所有组分均无菌,支原体检测均呈阴性。 |
使用许可 | 该产品使用Biontech AG独家许可技术,引自专利WO 2009/088134。 Biontech AG的WO 2007/036366,WO 2007/036366,WO 2007/036366和WO 2007/036366等多专利也涵盖了本产品。 |
产品列表
产品编号 | 产品名称 | 产品规格 |
00-0076 | StemRNA™-NM Reprogramming Kit StemgentRNA™-NM重编程试剂盒 | 1 kit |
相关产品
产品编号 | 产品名称 | 产品规格 |
01-0005 | NutriStem XF/FF Culture Medium (500 mL) NutriStem 无饲养层干细胞培养基 | 500 mL |
01-0005-100 | NutriStem XF/FF Culture Medium (100 mL) NutriStem 无饲养层干细胞培养基 | 100 mL |
03-0002 | Stemfactor™ FGF-Basic, Human Recombinant Stemfactor™ FGF-Basic,人重组 | 50 µg |
01-0020-50 | NutriFreez D10 Cryopreservation Medium (50mL) NutriFreez D10冻存液(50mL) | 50 mL |
NP892-011 | iMatrix-511 iMatrix-511层粘连蛋白 | 350 µg |
NP892-012 | iMatrix-511 iMatrix-511层粘连蛋白 | 1050 µg |
385-07361 | iMatrix-511 solution(0.5 mg/mL) 重组层粘连蛋白511-E8片段,溶液(0.5 mg/mL) | 175 µg×2 |